A kind and gentle way to protect your long-term oral health
You're not the only one whose wisdom teeth are starting to hurt or swell. These back molars often cause problems when they come in, and taking them out can stop pain and other dental problems in the future. We at Loudoun Innovative Dentistry in Brambleton, VA, take a calm and caring approach to removing wisdom teeth. We want you to feel cared for before, during, and after your visit.
We think that oral surgery doesn't have to be stressful. With today's technology, careful planning, and a personal touch, your Brambleton wisdom teeth extraction can go smoothly, be safe, and even be surprisingly comfortable.
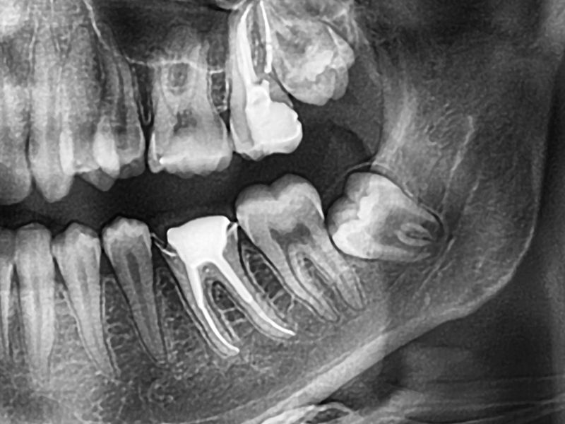
The last set of teeth to come in are your wisdom teeth, which are also called third molars. They usually come in when you're in your late teens or early twenties. A lot of people just don't have enough room for them to grow properly. They can come in sideways, push against teeth next to them, or get stuck under the gums. When that happens, they can cause swelling, infection, and pain in the jaw.
Wisdom teeth extraction in Brambleton is a routine procedure that removes these problem teeth before they damage your smile. We carefully map out your teeth and jaw with high-tech digital X-rays and imaging. This helps us make a plan for a very specific and gentle wisdom teeth removal in Brambleton that is perfect for you.
Some people's wisdom teeth don't cause problems, but when they do, it's best to do something about them right away. Impacted or misaligned molars can press on nearby teeth, create gum pockets that trap bacteria, or even cause cysts to form. Removing them protects your bite and keeps your mouth healthy.
Common signs you may need wisdom teeth removal Brambleton include:
Taking care of these symptoms early on keeps them from getting worse and helps you keep your smile healthy and balanced.
Getting your wisdom teeth taken out isn't just about getting rid of pain; it's also a way to make sure your mouth stays healthy and comfortable in the future. Patients who undergo tooth extractions in Brambleton often say that it is much easier to keep their back teeth clean and their mouth healthy.
Some of the benefits include:
At Loudoun Innovative Dentistry, every wisdom teeth removal in Brambleton is safe and comfortable. They use new tools and methods to speed up and make healing easier.
We know that dental surgery can be scary, but at our Brambleton office, we do everything we can to make your visit as stress-free as possible. Our team will guide you through each step, answer your questions, and make sure the procedure is comfortable for you.
We use methods that are as non-invasive as possible and anesthesia that is gentle, so you will be comfortable the whole time. After your Brambleton wisdom teeth extraction, we'll give you detailed instructions on how to heal and stay in touch to make sure everything is going as planned. You won't ever feel rushed or alone; your care will continue even after you leave our office.
Are you not sure if you really need to get your wisdom teeth out? The best way to find out is to set up a quick checkup. A quick exam and X-rays can show us if your wisdom teeth have enough room to come in safely or if they need to be taken out to avoid problems later.
Early wisdom teeth extraction treatment in Brambleton can help teens and young adults avoid pain and problems later on. We also pull teeth in Brambleton for other dental issues, like teeth that are broken or rotten. This helps keep your oral health on track at every stage of life.
Your comfort is always the most important thing at Loudoun Innovative Dentistry. Our experienced team will make sure you get the best care possible, whether you need a simple extraction or a more complex Brambleton wisdom teeth removal.
Now is the perfect time to take the next step if you've been putting off your extraction. Call our Brambleton dental office today to set up a consultation. We'll help you move forward with confidence and comfort.
Proudly Serving Loudoun County
Communities & Neighborhoods We Serve Near Brambleton, VA
At Loudoun Innovative Dentistry, we're proud to provide exceptional dental care to families across Loudoun County and surrounding communities. Our office offers convenient access to comprehensive dental services for all ages.
Map to Our Office
Visit Loudoun Innovative Dentistry in Brambleton
Our office is located near Brambleton, between the Dulles Greenway and Route 50, with easy access from both Loudoun County Parkway and Belmont Ridge Road. This makes dental visits convenient for families and professionals throughout Eastern Loudoun County. We proudly serve patients in Brambleton, Ashburn, Arcola, Dulles South, Chantilly, Sterling, Stone Ridge, South Riding and other nearby communities and neighborhoods.
